Ação no bairro Mirante, na zona Oeste, resultou na apreensão de revólver, munições e entorpecentes. Um dos detidos confessou disparos contra o próprio pai, o jornalista Vadinho Doreto
Equipes da Força Tática do 9° Batalhão de Polícia Militar do Interior prenderam dois homens por tráfico de drogas, posse ilegal de arma e tentativa de homicídio na noite de sexta-feira, dia 23 de janeiro de 2026, em Marília. A ocorrência teve início por volta das 20h50, no bairro Mirante, quando um suspeito foi abordado em frente a um bar portando porções de maconha e cocaína. O indivíduo revelou que, em sua residência, escondia mais drogas e o filho do jornalista Vadinho Doreto, que disparou seis vezes contra o próprio pai em recente tentativa de homicídio.
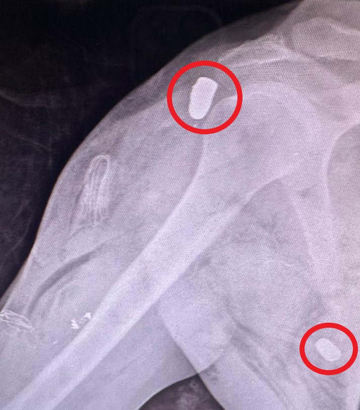
Ao chegarem ao local indicado, os policiais localizaram o segundo suspeito, que havia efetuado disparos de arma de fogo contra o próprio pai. Durante a vistoria, os militares encontraram um revólver calibre .38 especial oculto sob o estofado de uma cadeira, acompanhado de 22 munições. No interior de uma cômoda, foram apreendidos um tijolo de maconha, um pote com a mesma substância e diversos petrechos utilizados para o preparo dos ilícitos.
Diante do flagrante e da confissão do crime de tentativa de homicídio, os dois homens foram conduzidos à Central de Polícia Judiciária. Os entorpecentes, a arma e os valores em espécie foram apreendidos para perícia técnica. Os indivíduos permaneceram presos e seguem agora à disposição da Justiça, aguardando o seguimento do processo penal pelas múltiplas infrações cometidas.



























